美しい歯、長持ちするセラミックにしたい方へ
マイクロスコープでより精密なセラミック治療を実現

セラミックの被せ物や詰め物を使った治療は、今やほとんどの歯科医院で行われるようになりました。
セラミックは、白く美しく、汚れが付着しにくい、噛み合う歯を傷つけない、審美性と機能性に富んだ材料です。金属アレルギーの心配もありません。
ただ、支台歯にセラミックを取り付ける際、そこに隙間や段差が生じてしまうと、汚れが溜まりやすくなってしまいます。虫歯や歯周病の原因となり、セラミックの交換時期も早まることになるでしょう。
当院は、セラミックと支台歯の「適合」を重要視し、視野を約24倍にまで拡大できるマイクロスコープを使用したセラミック治療を行います。材料の良さを最大限に引き出し、また長持ちさせるために大切にしている取り組みです。
こだわりのセラミック製作でより美しい詰め物や被せ物をご提供
セラミックの詰め物・被せ物の製作の際には、その形だけでなく、歯茎との境目のライン、他の天然歯とのバランス、お口まわりの印象との調和まで考慮しております。
また、被せ物の土台に使用するコアには、金属ではなくグラスファイバー製の「ファイバーコア」を使用します。金属アレルギーの心配がなくなり、柔軟性があるために破折の防止にもなります。さらに、ファイバーコアは天然歯に近い白い色をしているため、被せ物にはより透明感のあるセラミックが使用できます。
患者さまお一人お一人に合わせた製作、優れた材料の追及が、より美しい詰め物・被せ物の治療を可能にします。
短期間で歯並びをキレイに
歯並びの乱れが見られる歯列に対し、被せ物を取り付けることで、歯並びを改善することが可能なケースもございます。
矯正歯科治療とは異なり、歯の移動がありませんので、短期間での治療が可能です。
セラミックのメリット・デメリット
メリット
- 短期間(数カ月)で歯並びを改善できる
- 歯の色、形、大きさも同時に整えられる
- 歯を動かさないため、後戻りの心配がない
デメリット
- 健康な歯を削る必要がある
- 治療歯が多くなるほど、費用も高額になる
当院で取り扱うセラミックの種類
オールセラミックジルコニア
人工ダイヤモンドと呼ばれるほど高い硬度を持つ、ジルコニアを使用します。
被せ物として作製する場合には、外側にセラミックを使用する場合があります。
審美性、耐久性とも非常に優れており、長期にわたって自然な白さが保たれます。
| 審美性 | ☆☆☆☆☆ |
|---|---|
| 耐久性 | ☆☆☆☆☆ |
| 変色のしにくさ | ☆☆☆☆☆ |
こんな方におすすめ
- 美しさも耐久性も、とことんこだわりたい方
- 負担のかかりやすい奥歯のセラミック治療をご希望の方
- 金属アレルギーが心配な方
など。
副作用とリスク
- メンテナンスがかかせません。
オールセラミックe-max
天然歯に限りなく近い透明感を再現できるのが、e-maxです。
特に前歯への使用に適しています。柔軟性にも富み、噛み合う歯を傷つけません。
| 審美性 | ☆☆☆☆☆ |
|---|---|
| 耐久性 | ☆☆☆☆ |
| 変色のしにくさ | ☆☆☆☆☆ |
こんな方におすすめ
- 透明感に優れたセラミック治療をご希望の方
- 人目につきやすい前歯のセラミック治療をご希望の方
- 金属アレルギーが心配な方
など。
副作用とリスク
- メンテナンスがかかせません。
ラミネートベニア
前歯の前面を薄くスライスし、そこに加工したセラミックを貼り付ける方法です。
歯の白さと同時に、歯の大きさ・形も調整できます。
「前歯の軽度の歯並びの乱れを改善したい」「短期間で前歯の見た目を改善したい」「ホワイトニングで満足のゆく効果が得られなかった」という方におすすめです。
| 審美性 | ☆☆☆☆☆ |
|---|---|
| 耐久性 | ☆☆☆☆ |
| 変色のしにくさ | ☆☆☆☆☆ |
こんな方におすすめ
- 歯と歯の隙間が気になっている方
- 歯が小さいなど歯の大きさや形が気になっている方
- ホワイトニングで白くできなかった濃い着色がある方
など。
副作用とリスク
- 嚙み合わせ、歯ぎしりによって破折することがあります。
ダイレクトボンディング
虫歯治療で小さく削った部位、割れた・欠けた部位、あるいは歯の隙間(すきっ歯など)にレジンを直接詰めたり盛り付けることで、歯の見た目を回復・改善する治療です。
この場合に使用するレジンは自費の材料であり、保険診療で使用するレジンとは異なり、より審美性の高い治療が可能です。天然歯とのあいだに隙間ができず、二次虫歯の予防にも有効です。
| 審美性 | ☆☆☆☆ |
|---|---|
| 耐久性 | ☆☆☆ |
| 変色のしにくさ | ☆☆☆☆☆ |
こんな方におすすめ
- すきっ歯が気になっている方
- 詰め物が取れてしまったという方
など。
副作用とリスク
- 変色、摩耗、破折などが発生することがあります。
ファイバーコア<土台>
被せ物の土台となる、グラスファイバー製のコアです。金属製のメタルコアにはない柔軟性を持つため、被せ物や支台歯への負担が抑えられ、破折などのトラブルを予防します。
また、天然歯に近い白い色をしているため、被せ物にはより透明感のあるセラミックが使用できます。
もちろん、金属アレルギーの心配もありません。
副作用とリスク
- 歯の状態によって破折、脱離が発生することがあります。
セラミック治療の症例紹介
セラミック修復
治療前

治療後

| ①治療名 | セラミック修復 |
|---|---|
| ②治療説明 | 銀歯が気になり、歯を白くしたいと来院されました。 形の悪かったブリッジも全てセラミックに置き換え、大変喜んで頂けました。 |
| ③治療回数・期間 | 治療回数:約4回/治療期間:約1ヶ月半 |
| ④副作用とリスク | リスクは特にありませんが、メンテナンスが大切です。 |
| ⑤料金 | 1,078,000円~(税込) |
ラミネートべニア
治療前

治療後

| ①治療名 | ラミネートべニア |
|---|---|
| ②治療説明 | 左右側切歯の形が気になっておられた為、ラミネートべニアで治療しました。 |
| ③治療回数・期間 | 治療回数:約2回/治療期間:約1ヶ月 |
| ④副作用とリスク | しっかりとした接着操作が要求されます。 |
| ⑤料金 | 約220,000円~(税込) |
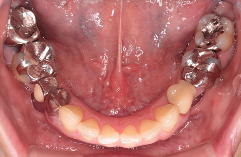
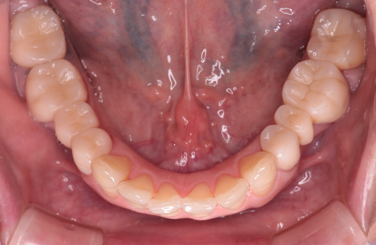
どこで噛んでいいか分からない状態をセラミックと簡単な矯正で治療
治療前
正面

上顎

下顎

治療後
正面

上顎

下顎

| ①治療名 | セラミック+簡単な矯正 |
|---|---|
| ②治療説明 | 顎位診断をし、臼歯部をセラミックで再構成しました。 顎位の安定のために少し特殊な形態にしました |
| ③治療回数・期間 | 治療回数:約17回/治療期間:約8ヶ月 |
| ④副作用とリスク | メンテナンスが欠かせません。 |
| ⑤料金 | 約2,750,000円~(税込) |
ダイレクトボンディング
治療前

治療中

治療後

治療前

治療中

治療後

治療前

治療後

| ①治療名 | ダイレクトボンディング |
|---|---|
| ②治療説明 | ラバーダムで唾液や湿気などを排除し、直接コンポジットレジンで詰めています。 ラバーダムをすることで、確実に充填しやすく、接着力も上がり耐久性も向上します。 徹底的に研磨をして、段差をなくしています。 |
| ③治療回数・期間 | 治療回数:1回 |
| ④副作用とリスク | 食事内容や噛み合わせの強さなどによって、辺縁が欠けたり、着色してくることがあります。 早めに研磨をしたり、リペアーすることで長く持たせることも可能です。 |
| ⑤料金 | 1本あたり33,000円~(税込) |
セラミック治療の費用
税込価格です。
| オールセラミック ジルコニア |
被せ物 | 165,000円 |
|---|---|---|
| 詰め物 | 77,000円 | |
| オールセラミック e-max |
被せ物 | 165,000円 |
| 詰め物 | 77,000円 | |
| ラミネートベニア | 110,000円 | |
| ダイレクトボンディング | 22,000円~110,000円 | |
| ファイバーコア(支台築造) | 33,000円/本 |
お支払方法
現金、銀行振り込み、または以下クレジットカードでのお支払いに対応しております。

セラミック治療の寿命と、長持ちさせるためには
セラミックの詰め物・被せ物の平均寿命は10年ほどと言われています。ただ、これはあくまで平均であり、治療後のお手入れによって大きく変わります。
天然歯と同じように、大切に扱うほど、長持ちします。特に、以下の点に気をつけてください。
- 歯科医院で指導してもらった方法で、丁寧にセルフケアをする
- 定期的なメインテナンスを受ける
- 虫歯、歯周病予防を意識して生活する
- 歯ぎしり、食いしばりに気づいたときには、すぐに歯科医院に相談する





















